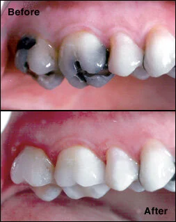
CEREC Before and After
Our office is capable of providing patients with same-day crowns using our state-of-the-art CEREC machine.
Our office is capable of providing patients with same-day crowns using our state-of-the-art CEREC machine.